
普瑞玛“实验动物模型与药物评价”专栏十一 | 定量口鼻吸入法建立大鼠慢性阻塞性肺病模型助力创新药研发来源:普瑞玛 时间:2023-12-11 14:53:40 浏览:7347
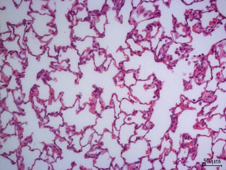
慢性阻塞性肺病(chronic obstructive pulmonary disease,COPD)是肺气肿和(或)慢性支气管炎导致的以气道不完全可逆性气流受限为特征的一类慢性呼吸系统疾病[1-3]。木瓜蛋白酶非特异性作用于肺泡间隔的弹性纤维,可造成肺组织血管壁和支气管破坏,引起炎症,从而诱发肺气肿;与此同时,香烟烟雾是慢阻肺发病最相关的危险因素之一,烟雾暴露造模可接近人类COPD的患病环境[4-5]。本中心可使用不同种属动物采用不同造模方法,根据烟雾浓度和吸入时长进行量化,根据需求调整造模时长来复制稳定、均一、个体差异小的COPD模型,为该类疾病模型的药物药效作用评价提供新思路。 1.COPD动物模型及选择 当前COPD动物模型种类较多,主要为烟雾暴露模型、细菌感染模型、气道炎症模型等。本中心建立了烟雾全身暴露、烟雾口鼻吸入、口鼻雾化吸入木瓜蛋白酶等COPD模型构建方法,同时借助该类模型为COPD治疗药物项目提供多项非临床有效性评价服务。 1.1 烟雾法 1.1.1 SD大鼠烟雾全身暴露法 烟雾全身暴露组SD大鼠采用自制烟雾暴露箱(400 mm × 300 mm × 400 mm)进行全身烟雾暴露,每天1次,每次60 min,动物接触烟雾途径包括口鼻吸入、皮肤和毛发接触等,连续8周,分别于吸入染毒第1、7、15、21天经气管滴注1 mg/kg的LPS,以诱导形成大鼠慢性阻塞性肺部模型。 1.1.2 SD大鼠口鼻吸入法 烟雾口鼻吸入组SD大鼠每天经口鼻吸入固定浓度的烟雾颗粒(以总颗粒物计,1.1 mg/L;以尼古丁计,0.1 mg/L),每天1次,每次60 min,连续8周,分别于吸入染毒第1、7、15、21天经气管滴注1 mg/kg的LPS,以诱导形成大鼠慢性阻塞性肺部模型。 1.1.3 试验结果 烟雾口鼻吸入组大鼠肺功能FEV0.2/FVC、Cdyn指标均较烟雾全身暴露组下降更为明显,Penh增加更明显;烟雾口鼻吸入组大鼠肺泡灌洗液IL-6、TNF-α水平在造模后6周即可见显著增加,烟雾全身暴露组大鼠需至造模8周。烟雾口鼻吸入组和全身暴露组大鼠造模后支气管炎症病变程度基本相当,但肺气肿病变程度以口鼻吸入组更严。
注:各组大鼠体重增长曲线图。与正常对照组相比,*P < 0.05,**P < 0.01,+P < 0.05,++P < 0.01;与烟雾口鼻吸入组相比,#P < 0.05
注:与正常对照组相比,*P < 0.05,**P < 0.01
注:与正常对照组相比,*P < 0.05,**P < 0.01
正常对照组 Normal control group 烟雾全身暴露组 Whole body exposure group 烟雾口鼻吸入组 Smoke inhalation group
1.2 气道炎症法 选用新西兰兔经耳缘静脉注射1次木瓜蛋白酶,注射后7天,经超声雾化器雾化0.5%的木瓜蛋白酶吸入,4h/次,每周吸入1次,共3次,以诱导形成实验兔COPD模型。 1.2.2 试验结果 与正常对照组比较,模型对照组实验兔FVC、FEV200、PEF均明显减少,肺中IL-6、IL-8、TNF-α水平均明显增加(P < 0.05);模型对照组实验兔肺组织结构严重破坏,肺泡隔数明显减少,支气管上皮细胞轻度至重度增生或坏死,肺泡腔重度扩大,并伴有中等至大量的炎性细胞浸润。
注:与正常对照组相比,+P < 0.05,++P < 0.01。
正常对照组 Normal control group 模型对照组 Model control group
2.小结 本中心分别采用烟雾全身暴露、烟雾口鼻吸入、口鼻雾化吸入木瓜蛋白酶等COPD模型构建方法,其中烟雾全身暴露法可真实模拟人类被动吸烟患病环境;烟雾口鼻吸入法可通过烟雾浓度和粒径分布进行验证和监测,造模剂量能根据烟雾浓度和吸入时长进行量化,并可根据需求调整造模时长来复制不同严重程度的COPD模型;口鼻雾化吸入木瓜蛋白酶法通过道炎症,进而复制COPD模型,可根据药物不同的治疗机制,选择不同的模型动物及造模方式对药物有效性进行评价。 3.参考文献 [1] Christenson SA, Smith BM, Bafadhel M, et al. Chronic obstructive pulmonary disease [J]. Lancet, 2022, 399(10342): 2227-2242. [2] Yang IA, Jenkins CR, Salvi SS. Chronic obstructive pulmonary disease in never-smokers: risk factors, pathogenesis, and implications for prevention and treatment [J]. Lancet Respir Med, 10(5): 497-511. [3] Segal LN, Martinez FJ. Chronic obstructive pulmonary disease subpopulations and phenotyping [J]. J Allergy Clin Immunol, 2018, 141(6): 1961-1971. [4] Sevilla-Montero J, Labrousse-Arias D, Fernández-Pérez C, et al. Cigarette smoke directly promotes pulmonary arterial remodeling and Kv7.4 channel dysfunction [J]. Am J Respir Crit Care Med, 2021, 203(10): 1290-1305. [5] Liu D, Zhang HC. Methods for animal models of chronic obstructive pulmonary disease [J]. Chin J Comp Med, 2020, 30(3):7.
|